Our dental clinic is open and you can read our COVID-safe procedures here.
We have unfortunately had to temporarily stop our beauty treatments in line with Government regulations. All existing appointments will be rescheduled.
With our 20-year history, you can trust our team to provide your dental care. We have been named ‘Best Practice in London’ and James Goolnik has twice been voted first place in the Dentistry Top 50.

Combined experience years
Mouths treated
Our award-winning dental team are committed to providing exceptional dental care for all patients
meet the teamThe Bow Lane Dental team consists of an elite group of award-winning dental professionals who will make your dental journey a comfortable and enjoyable experience.
We are pleased to have a range of dental specialists under one roof, including an endodontist, periodontist and orthodontist.
Our team can speak a range of languages including English, Italian, Arabic, French, Polish, Hebrew and Czech; we are pleased to offer extra assistance where required.
I have been a patient at Bow Lane Dental for 16 years. James is a saint in my opinion and they have literally transformed my life.
Bow Lane is an excellent dental clinic! Everyone is professional and skilled. Relatedly, I highly recommend Brooke Shippe - she is an extremely talented and thorough dental hygienist.
Sarah the Hygienist Specialist is such an amazing and elegant care provider. Every visit I feel my teeth become brand new. Thank you Sarah the best ever!
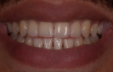
A picture is worth a thousand words, so take a look at some of the life-changing smiles that we have created for our patients in Central London.

We are situated in the heart of central London on Bow Lane, between Cheapside and Watling Street. The nearest tube stations are Mansion House, Bank and St. Paul’s, and Moorgate overground station is also close by. We are surrounded by some of London’s most iconic landmarks, including St. Paul’s Cathedral, the Tower of London, London Bridge, and the Barbican Centre.
Of course! Most of our patients work in central London and find it easier tofit their dental appointments and treatment around their working day by visiting a dental practice close to their office, rather than home. We are easy to get to via public transport and offer early morning appointment times to suit your schedule.
Yes! Many of our patients are working professionals who work in and around central London so we are pleased to offer appointments from 7:45am until 5:30pm. This enables us to see you before or after work, or during your lunch hour.
Of course! We encourage parents to bring babies along from a young age to get them used to the dental environment and we are pleased to provide free dental exams and X-rays for children under the age of 16 if one of their parents is a regular patient.
Yes, we are currently welcoming new private patients to the Bow Lane Dental family. Get in touch today to book your initial consultation, we can’t wait to meet you!
We can arrange payment plans for treatments exceeding £1500, subject to status. We no longer accept cash or cheques, but we do accept debit card, credit card, AMEX and bank transfer.
Yes, our Smile for Life club provides one dental check-up and two dental hygiene appointments per year, along with required X-rays, prevention advice, and 10% reduction of all dental treatments. This costs just £26 per month making it easy to pay for and plan your dental care.