Our dental clinic is open and you can read our COVID-safe procedures here.
We have unfortunately had to temporarily stop our beauty treatments in line with Government regulations. All existing appointments will be rescheduled.
We use cookies to ensure that we give you the best experience on our website. If you continue without changing your settings, we'll assume that you are happy to receive all cookies on the Bow Lane Dental Group website.
Find out more
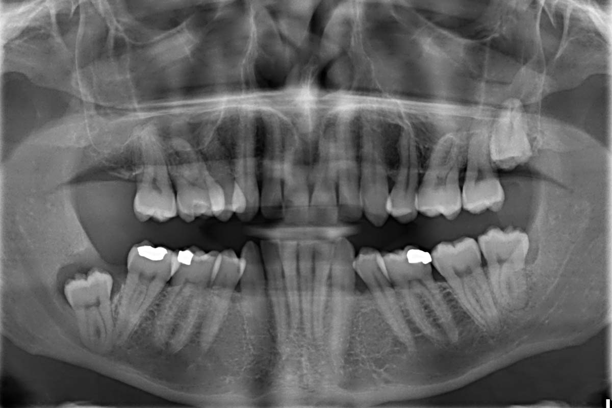
In recent years there have been some scare mongering headlines which implied that Dental X-rays cause cancer. Today’s blog is going to separate the fact from fiction so you know where you stand as a patient.
Radiation can damage the body's tissues and cells, which is why it is linked to cancer. There are actually a number of radiation sources we’re all exposed to on a daily basis – the sun, minerals in the soil, appliances in your home, and dental X-rays contain a minor amount.The fact is that the dose of radiation you receive when it’s necessary to have a dental X-ray is extremely small, and added to that there have been quite a few advancements in dentistry which minimise the risks even further.
In 2012 a research report was released which was picked up by the news and blown all out of proportion. Despite salacious headlines like "Regular dental X-rays can triple the chance of developing a common type of brain tumour", the actual findings of the research proved that having a series of full-mouth X-rays was not associated with any increased risk of brain tumour. Basically, the scare-mongering headlines came about because the research was based on the opinions of people who had a certain type of cancer. The NHS news website officially debunked the link between X-rays and cancer risk, however somehow this fallacy persists in the public mind.
Most people have a standard X-ray when they first register with their dentist so that he/she can do a thorough check. Thereafter, it is typically only needed every few years, although this might be more frequent if you have gum or tooth problems.X-rays are an important way for your dentist to ensure your mouth is in good condition and prevent major issues occurring further down the road. Benefits include being able to spot hidden abscesses, tooth decay lurking beneath fillings, bone loss caused by gum disease and generally highlighting anything amiss that cannot be seen by an oral examination so it can be nipped in the bud.Dental X-rays are also important at intervals for children – the British Dental Health Foundation officially recommends them when a child’s second teeth are coming through. This enables your dentist to check whether the baby teeth are coming out at the right pace to allow for permanent teeth, and find out whether there is enough space for incoming teeth to grow properly.When it comes to dental X-rays while pregnant, The British Dental Association confirms the procedure is safe – no harm will come to your baby.
While it’s true that every bit of radiation you receive from all sources adds up throughout your life, it’s also true that there is far less radiation exposure involved in a dental X-ray than you would get from spending a day in the sun while on holiday. That said, at Bow Lane Dental we never take our patient’s worries lightly, so ONLY use Digital X-rays which are the safest method available.Also feel free to ask us for a thorough explanation when we recommend you have a dental X-ray. Rest assured, even though you have nothing to fear from the procedure (which only takes a minute or two), we will never prescribe it without a very good reason.
Monday
07:45 - 17:30
Tuesday
07:45 - 17:30
Wednesday
08:30 -17:30
Thursday
07:45 - 17:30
Friday
08:00 - 17:00
We're a dental and orthodontist practice providing high quality, private dentistry services in the City of London
book an appointment© Copyright Bow Lane Dental Group 2022. This website was last updated on 29/03/2022 at 16:01