Cancel | Bow Lane Dental in London

Our dental clinic is open and you can read our COVID-safe procedures here.

We have unfortunately had to temporarily stop our beauty treatments in line with Government regulations. All existing appointments will be rescheduled.

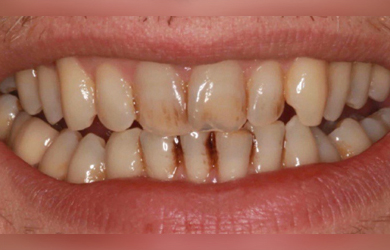
Hygiene Example 3: Hygiene Example

Hygiene Example 3

Hygiene Example

back to all smiles

Find us

Bow Lane Dental Group, 2a Bow Lane, London, EC4M 9EE

Speak to us

Phone Us  (purple) | Bow Lane Dental in London
020 7236 3600