Our dental clinic is open and you can read our COVID-safe procedures here.
We have unfortunately had to temporarily stop our beauty treatments in line with Government regulations. All existing appointments will be rescheduled.
We use cookies to ensure that we give you the best experience on our website. If you continue without changing your settings, we'll assume that you are happy to receive all cookies on the Bow Lane Dental Group website.
Find out more
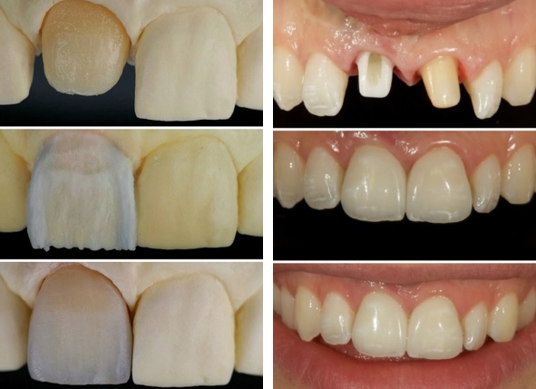
We are proud to be one of the only practices in the UK to have an on-site dental laboratory, run by talented dental technician Richard O’Brien, who specialises in cosmetic dental work.
Having an on-site laboratory means our lab technicians can work even closer with our patients, eliminate any problems quicker, and help support patients from start to finish alongside our dentists.

Richard qualified in 1993 and continued his studies, receiving his Master’s Degree in Dental Technology in Cologne in 2000, qualifying best in his year. He now works as a Master Lab Technician at RichArt Dental Laboratory located inside Bow Lane Dental surgery.

The laboratory is located in the practice and features a wide range of state-of-the-art machinery to create everything from veneers and crowns to bridges and splints.
A great thing about having the on-site lab here is that our patients can meet Richard in person and discuss changes, colours, fittings and more without having to wait for the lab work to return from an outside company.

What’s your earliest memory of London?
Walking along the Thames on a sunny day whilst visiting from Germany.
What would you do as Mayor of London for the day?
Make London car-free.
Which building in London would you buy?
The Shard, the higher the better.
What’s the best advice you’ve been given?
The man who never made a mistake, never made anything.
Which temptation can’t you resist?
Buying the latest gadgets
What’s on your bucket list?
Doing a triathlon in Hawaii.
Want to find out more? Head over to www.bowlanedental.com or call us on 020 7236 3600.
Monday
07:45 - 17:30
Tuesday
07:45 - 17:30
Wednesday
08:30 -17:30
Thursday
07:45 - 17:30
Friday
08:00 - 17:00
We're a dental and orthodontist practice providing high quality, private dentistry services in the City of London
book an appointment© Copyright Bow Lane Dental Group 2022. This website was last updated on 29/03/2022 at 16:01