Our dental clinic is open and you can read our COVID-safe procedures here.
We have unfortunately had to temporarily stop our beauty treatments in line with Government regulations. All existing appointments will be rescheduled.
We use cookies to ensure that we give you the best experience on our website. If you continue without changing your settings, we'll assume that you are happy to receive all cookies on the Bow Lane Dental Group website.
Find out more
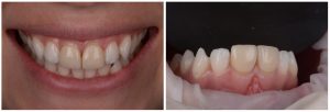
Are you thinking of transforming your smile this year? One of the more common ways is by using porcelain veneers. Let’s talk about the process in more detail. We've put together a helpful guide showing a recent case by Dr Stewart Beggs. As we are lucky enough to have our own in-house laboratory, our lab technician Richard is always on hand to perfect every single one and make sure they are beautiful. Our patient Alex had old veneers that she wanted replacing. She wanted a whiter, brighter smile with new ones that looked as natural as possible. Take a look at the step-by-step process below.

In order to start the process, Stewart needed to remove the old veneers safely. He gently filed the middle of the old veneers, which helps them be removed in the safest way possible. Once they were removed, the patient’s natural teeth were revealed, ready to start preparing for replacements.

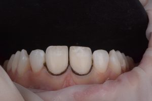
Next, Stewart prepares the gums, so that they are ready for the new veneers to be placed. The dark parts you can see in these photos are where he has carefully placed retraction cord along the gum line. Retraction cord typically resembles string. This process allows the dentist to focus directly on preparing the tooth without having to worry about the gums getting in the way.

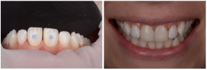
It’s time to place the temporary veneers. This gives the patient some time to get adjusted to how the new veneers will look. It’s also a good way of making sure the patient is happy with the shape and shade. Think of it as ‘test-driving’ your new teeth! Below you will see the blue dots on the front teeth, which is the gentle glue that fixes the temporary veneers in place.

Alex was very happy with the look and feel of the veneers, and was happy to go ahead with the final fit.
Once Alex was happy with the veneers and had got used to how they would look, it was time for the them to be fitted. Our lab technician worked on the final touches to make sure the veneers were as natural as possible. Richard hand finished the porcelain to match the rest of Alex’s teeth as closely as possible as seen below.

After the final touches were complete, Stewart took a few close-ups that show just how thin they are. These particular ones measure just 0.3mm in thickness. Alex had used our home whitening service beforehand, which will help show a brighter, whiter smile once the veneers have been placed.

Stewart isolates the teeth using rubber dam, ready for the final fit. Once they are fitted, they will take a few days to hydrate. Once this happens, the veneers surfaces give off that natural, glossy shine again.


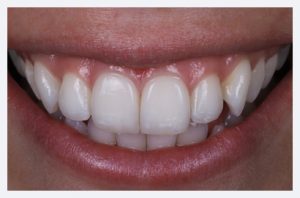
As you can see from the before and after photo below, the replacement veneers have made a dramatic difference. The old ones did not sit close to the gum line and the shade did not match the shade of the rest of Alex’s teeth. Alex now has a brighter, whiter smile and beautifully natural replacements. She is thrilled with the results and recommended the team to anyone looking for a smile transformation. Take a look at the video below to watch Alex's patient testimonial.

Monday
07:45 - 17:30
Tuesday
07:45 - 17:30
Wednesday
08:30 -17:30
Thursday
07:45 - 17:30
Friday
08:00 - 17:00
We're a dental and orthodontist practice providing high quality, private dentistry services in the City of London
book an appointment© Copyright Bow Lane Dental Group 2022. This website was last updated on 29/03/2022 at 16:01