Our dental clinic is open and you can read our COVID-safe procedures here.
We have unfortunately had to temporarily stop our beauty treatments in line with Government regulations. All existing appointments will be rescheduled.

Whitening and composite bonding
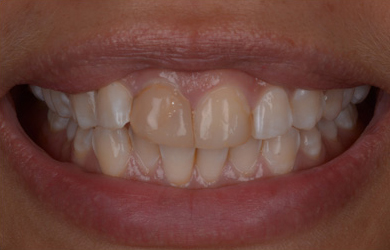
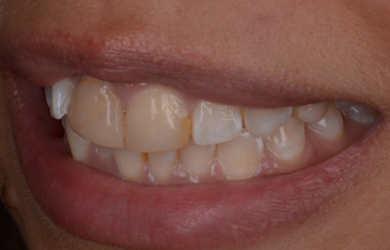
Our patient Angela was concerned about her dark front teeth which had been getting gradually worse over the last few years. Angela booked a consultation with our specialist endodontist Sameena Choudhry who gave her the best options available. To resolve the issues Angela was concerned with, Sameena carried out root canal treatment.
Once the root canal treatment was complete, internal and external whitening was then used to brighten up the smile by our dentist Stewart Beggs. After this, two highly characterized composite veneers were placed to match Angela’s natural teeth.
Whitening and composite bonding by Stewart Beggs
Root Canal Treatment by Sameena Choudhry





