Our dental clinic is open and you can read our COVID-safe procedures here.
We have unfortunately had to temporarily stop our beauty treatments in line with Government regulations. All existing appointments will be rescheduled.

Invisalign, Whitening and Composite Bonding
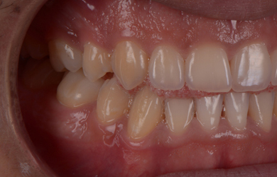
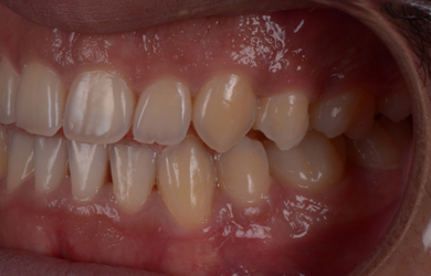
Our patient Bilal came to see our dentist Stewart, as he had always felt self-conscious about the gaps between the lower teeth.
Using a combination of Invisalign, ZOOM teeth whitening and composite bonding, we were able to transform Bilals smile. He now feels more confident than ever. A big thank you to our dental hygienist Brooke who also kept Bilal’s teeth and gums in great condition throughout his treatments too.
Invisalign, ZOOM teeth whitening and composite bonding by Stewart Beggs Hygiene treatment by Brooke Shipp





