Our dental clinic is open and you can read our COVID-safe procedures here.
We have unfortunately had to temporarily stop our beauty treatments in line with Government regulations. All existing appointments will be rescheduled.
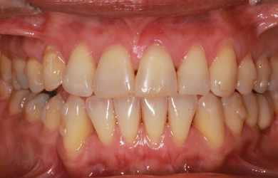
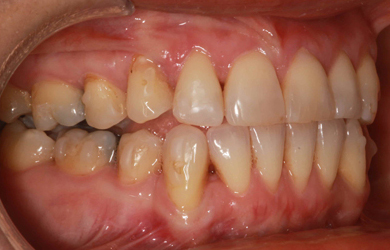
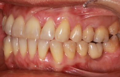
Invisalign and Veneers
Our patient Caroline had a smile transformation thanks Invisalign and dental veneers. Our Orthodontist Raman and dental therapist Renate straightened Caroline’s teeth which took around 18 months. Once the treatment was complete, our dentist Stewart and dental ceramist Richard created and fitted a set of stunning veneers.
If you would like to book a cosmetic consultation with our dentist Stewart, or an orthodontic consultation with Raman, please call us on 020 7236 3600. We look forward to hearing from you and helping you create the dream smile you’ve always wanted.
Alternatively, you can book your appointment online here.





