Our dental clinic is open and you can read our COVID-safe procedures here.
We have unfortunately had to temporarily stop our beauty treatments in line with Government regulations. All existing appointments will be rescheduled.
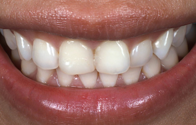
Composite Bonding
Han was unhappy with her existing composite bonding as it had become stained. Her upper left lateral tooth was slightly tucked behind too. Stewart did a gum lift to improve the gum shapes, and then composite bonding was placed on three teeth to improve shapes and positioning, just in time for her birthday.

