Our dental clinic is open and you can read our COVID-safe procedures here.
We have unfortunately had to temporarily stop our beauty treatments in line with Government regulations. All existing appointments will be rescheduled.

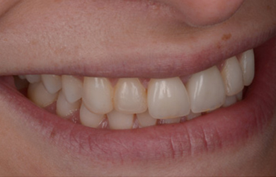
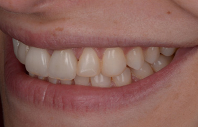
Whitening and Veneers
Harriet came to Bow Lane Dental as an emergency patient after old composite bonding on her front teeth kept chipping. Stewart carried out Zoom teeth whitening to brighten her teeth, then added two porcelain veneers which were placed on the front teeth to transform her Smile.
Zoom Whitening and Veneers by Stewart Beggs
Veneers Made by our in-house Lab technician Richard O’Brien.





