Our dental clinic is open and you can read our COVID-safe procedures here.
We have unfortunately had to temporarily stop our beauty treatments in line with Government regulations. All existing appointments will be rescheduled.
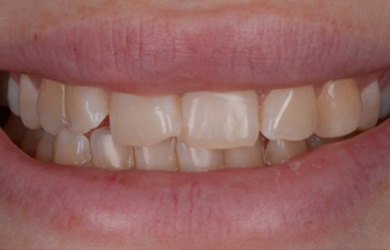
Invisalign & Composite Bonding
Lily was referred by one of her friends to Stewart for teeth straightening. She was also unhappy with the colour of her teeth. Firstly she had 7 months of Invisalign treatment. She then had advanced teeth whitening and composite bonding on the front four teeth to repair the worn and chipped edges.

