Our dental clinic is open and you can read our COVID-safe procedures here.
We have unfortunately had to temporarily stop our beauty treatments in line with Government regulations. All existing appointments will be rescheduled.

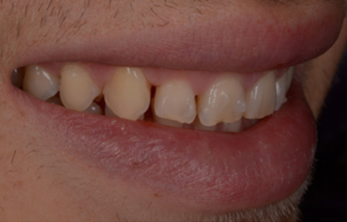
Veneers
Max came to see Raman Aulakh wanting to close gaps between the teeth. Unfortunately, the gaps were too wide to close with braces alone. Therefore, we carried out Invisalign to slightly close and redistribute the spaces.
To close the remaining spaces, Stewart carried out teeth whitening to brighten the smile. Then, a gum lift was completed to improve the gum line and placed 16 no-preparation, highly aesthetic porcelain veneers.
Invisalign by Raman Aulakh and Renate Putrus
Whitening, gum lift and porcelain veneers by Stewart Beggs
Veneers Made by our in-house ceramist Richard O’Brien.
Hygiene and gum care by dental hygienist Brooke Shipp.





