Our dental clinic is open and you can read our COVID-safe procedures here.
We have unfortunately had to temporarily stop our beauty treatments in line with Government regulations. All existing appointments will be rescheduled.

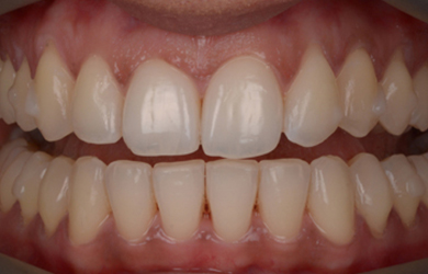
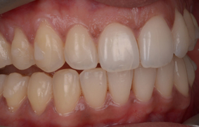
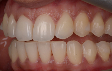
Invisalign and composite bonding
Our patient Ruby wanted to improve her front teeth which were crossed over. She had always felt a little insecure about this, so our team go to work and helped her achieve her dream smile.
Orthodontic treatment by Raman Aulakh and Renate Putrus was used to improve the alignment of the teeth.
Teeth Whitening and composite bonding were then used on the front four teeth to repair the chipped and worn edges. The composite bonding was done by the talented Stewart Beggs.
Invisalign by Raman Aulakh and Renate Putrus
Whitening and composite bonding by Stewart Beggs





